A new partnership aims to transform cancer care and improve patient outcomes by simplifying workflows with ground-breaking technologies.
Leading cancer care provider Icon Group has teamed up with Radformation, a innovator in radiation oncology software, to increase access to treatment for Australians.
"Our partnership will enable us to co-develop and implement quality improvement tools by leveraging our collective expertise and skills," saidIcon Group's Executive Manager of Clinical Care, Trent Aland.
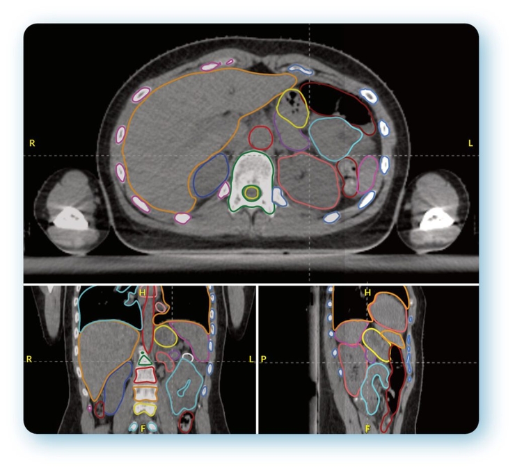
It will initially involve AutoContour, an artificial intelligence-driven solution to speed up the pre-treatment planning process, and cloud-based quality assurance platform RadMachine to ensure the safety and optimal performance of treatment delivery systems, imaging technology, and ancillary equipment.
"We are often first to market in the latest radiation therapy technologies and treatments," Mr Aland said.
"Radformation's tools will support our clinical teams globally and aid in streamlining processes to increase efficiencies and allow us to deliver the best possible care to more people."

Icon Group's Executive Manager of Clinical Care, Trent Aland
Icon is Australia's largest dedicated provider of cancer care, with 38 centres across the country.
Its global reputation for excellence and commitment to innovation "aligns seamlessly with our vision for advancing radiation oncology workflows", according to Radformation's VP Global Sales and Strategic Partnerships, Joe Ianni.
"Together, we have the opportunity to improve the way cancer treatment is delivered and further empower clinicians in their mission to save lives," he said.
Read more: Icon Group announces UK partnership
Read more: Ramsay 'reimagining healthcare with AI'
Next News And Innovation:
4/3/2024 Cura focused on eye care expansion
Previous News And Innovation:
19/2/2024 'Best in world' for regional bariatric return
